当科では、様々な原因によって喪失した歯、口腔顎顔面の欠損に伴う咀嚼、審美などの形態的・機能的障害の回復、またそれ以外の口腔の機能障害に対する回復,補綴歯科的対応を行っています。また、日々進歩する歯科治療材料や技術、機器、情報をいち早く取り入れた診療を心がけており、(公社)日本補綴歯科学会、(公社)日本口腔インプラント学会および(一社)日本老年歯科医学会の指導医・専門医・認定医が中心となって専門的な治療を行っています。
<治療実績の一例>

手術によって口と鼻がつながってしまった症例に対する義歯

舌の機能が低下し上手く嚥下できなくなった方への義歯

口腔内での義歯の安定を重視した義歯

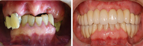
口の中が崩壊していた方に対して、インプラントを用いて機能的・審美的な回復を行った症例

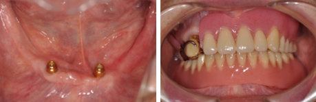
インプラントによって総義歯の安定性・咀嚼能率の向上を行った症例

デジタル技術(CAD/CAM)によって義歯を製作した症例

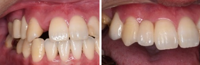
デジタル技術(CAD/CAM)によってブリッジを製作した症例

軟口蓋挙上装置によって軟口蓋の動きを改善した症例
こうした専門的な治療によって、患者さんのQOL(Quality of life:生活の質)を向上させることを我々は目指しています。治療開始前においても、各診療科と連携しながら口腔全体に対する総合的な治療計画を立て、複数ある治療方法の選択肢を用意し、それらの長所短所を十分に説明した上で患者さんの希望に添った治療を行うよう努めています。